더케이내과의원

대장내시경


DONGSAN INTERNAL MEDICINE

대장내시경 검사란?

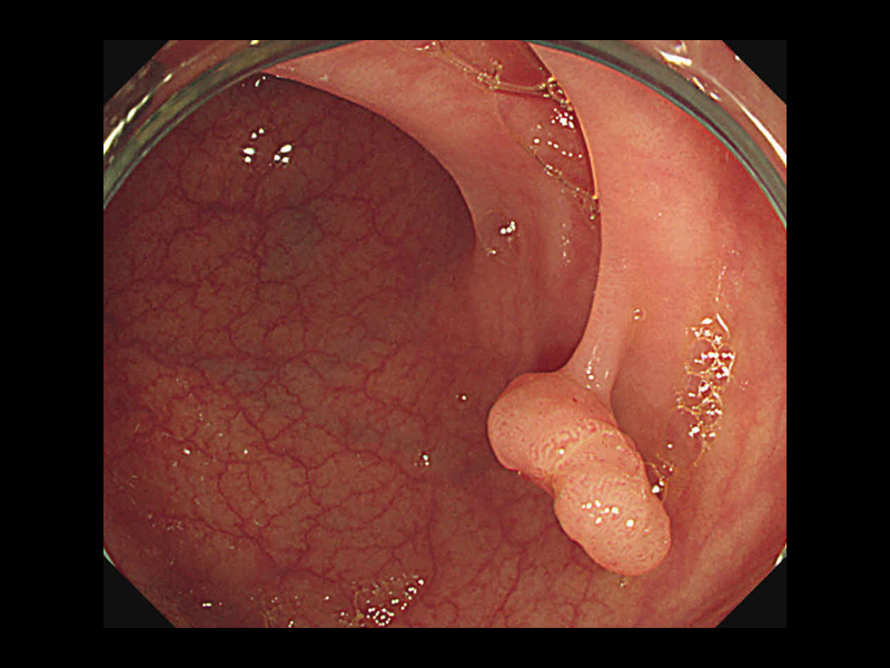
대장내시경 검사는 매우 작은 카메라가 달린 관 형태의 기구로 직장부터 소장 말단부위까지 존 대장 내부를 관찰하여 암, 염증이나 궤양 등을 진단하는 검사입니다. 용종이 있을 경우 용종 제거시술을 통한 치료도 가능한 매우 숙련된 술기가 필요한 검사입니다.

현대인의 식생활이 점차 서구화됨에 따라 대장암, 대장용종 등의 대장 질환을 걱정하는 수준에 이르렀으며 조기 진단과 치료를 위해 대장내시경이 보편적으로 시행되고 있습니다.

대장내시경 검사는 매우 작은 카메라가 달린 관 형태의 기구로 직장부터 소장 말단부위까지 존 대장 내부를 관찰하여 암, 염증이나 궤양 등을 진단하는 검사입니다. 용종이 있을 경우 용종 제거시술을 통한 치료도 가능한 매우 숙련된 술기가 필요한 검사입니다.

현대인의 식생활이 점차 서구화됨에 따라 대장암, 대장용종 등의 대장 질환을 걱정하는 수준에 이르렀으며 조기 진단과 치료를 위해 대장내시경이 보편적으로 시행되고 있습니다.

DONGSAN INTERNAL MEDICINE

증상이 없을 경우에도 대장내시경을 받아야 하나요?

대부분의 대장암은 다른 암처럼 갑작스럽게 발생하지 않으며 선종성 용종의 단계를 거쳐 서서히 암으로 진행합니다.
따라서 대장용종 단계에서 제거할 경우 대장암을 예방할 수 있습니다.

그러나 대장용종은 증상이 없으며 혈변이나 장폐색 등 증상이 나타날 경우에는 이미 대장암으로 진행한 상태일 경우가 많습니다.
따라서 증상이 없어도 대장내시경 검사를 시행하여 대장용종을 발견하고 제거하는 것이 대장암 예방을 위해서 매우 중요합니다.

대부분의 대장암은 다른 암처럼 갑작스럽게 발생하지 않으며 선종성 용종의 단계를 거쳐 서서히 암으로 진행합니다.
따라서 대장용종 단계에서 제거할 경우 대장암을 예방할 수 있습니다.

그러나 대장용종은 증상이 없으며 혈변이나 장폐색 등 증상이 나타날 경우에는 이미 대장암으로 진행한 상태일 경우가 많습니다.
따라서 증상이 없어도 대장내시경 검사를 시행하여 대장용종을 발견하고 제거하는 것이 대장암 예방을 위해서 매우 중요합니다.

DongSan Internal Medicine

검사대상

  • 01설사, 변비 등이 장기간 지속되는 경우
  • 02배변 시 출혈이 있을 경우
  • 03원인 불명의 복통이 수시로 발생하는 경우
  • 04특별한 증상 없어도 50대 이상의 경우 정기적인 검사 필요
  • 05배변 습관에 변화가 나타난 경우
  • 06점액변이 나오거나 대변이 가늘어질 경우

DongSan Internal Medicine

주의사항

검사 전 주의사항

  • 검사 전날 저녁 식사를 가볍게 합니다.(저녁 7시 이후 금식)
  • 검사 전날 저녁과 당일 아침에 장 청결제를 먹어 장을 깨끗하게 비웁니다.
  • 혈압이나 당뇨 등의 만성질환이 있으신 분들은 꼭 의사에게 알려야 합니다.
  • 3일전부터는 씨가 있는 과일을 먹지 마세요(참외, 포도, 수박, 키위 등)

검사 시 주의사항

  • 당뇨약은 검사 당일엔 드시지 마세요.
  • 고혈압이 있으신 분은 아침 기상 직후 혈압약만 복용하고 오세요.
  • 진정내시경을 받은 경우에 운전을 하면 안되고 환자 안전을 위해 보호자가 동반해야 합니다.
  • 검사 후 복통이 심하거나 혈변, 흑색변 등이 있으면 바로 의사에게 연락하여 조치를 받아야 합니다.